近日,齐医附属一院骨外科二病区尤伟夫医生在主任曹立新教授指导下,独立为腰痛、腿痛、腿麻的腰椎病患者开展微创脊柱椎间孔镜减压手术,患者术后恢复良好。微创脊柱椎间孔镜减压手术的开展,满足了我市及周边百姓对于“切口小、出血少、恢复快”的脊柱微创手术的广泛就医需求。

骨外科二病区医生团队与患者合影
典型病例
患者王某,40岁,家中唯一劳动力,是家里的支柱。常年的劳作使他患有腰腿疼痛疾病多年。此次发作其症状主要为腰疼伴左下肢麻疼,强迫体位,不能活动,严重影响正常生活,行走困难甚至床上翻身都困难,夜不能寐,症状极其严重,更不用说赚钱养家。得知我院脊柱疾病先进的治疗技术理念,由大庆市杜尔伯特蒙古族自治县(泰康县)慕名而来。

01微创治疗的核心—解除病痛
针对这类腰腿疼痛剧烈的患者,我院骨外二科团队进行了详细的讨论,明确诊断并制定先进的微创治疗计划,保证本次手术能完全摘除突出的椎间盘解除神经压迫缓解患者病痛。




术前讨论
02微创治疗的意义—减少损伤加速康复
针对这类需要长时间从事体力工作,对腰椎负重活动有较高要求的特殊患者群体,我院脊柱团队进行了详细的术前讨论,保证本次手术能完全摘除突出的椎间盘又不过多破坏骨性结构,保证腰椎的稳定性,让患者日后有更好的腰部活动及负重能力,确保不影响务农活动。

尤伟夫医生为患者做术前准备
03麻醉优势
局麻-麻醉风险小,术前术后正常进食水,手术过程患者全程可沟通,让患者对自己疾病深入了解,对手术恢复更有信心,多数患者术后可自行走回病房。

尤伟夫医生为患者麻醉

按计划放置管道

尤伟夫医生独立完成手术操作

突出间盘摘除后原受压神经完全松解
术后仅见一个7毫米小创口,无需拆线!不影响美观,手术全程患者清醒。术后患者腰腿疼痛即刻消失,腿麻及无力的症状明显好转,术后即刻可以正常活动,常规可以次日康复出院。术后佩戴腰围正常生活,一个月后去除腰围,三个月后完全恢复,一般全程住院仅3-7天左右。患者对手术过程及术后效果满意,腰椎手术完全没有想象中那么可怕。

术后创口

术后当天 患者自由行走
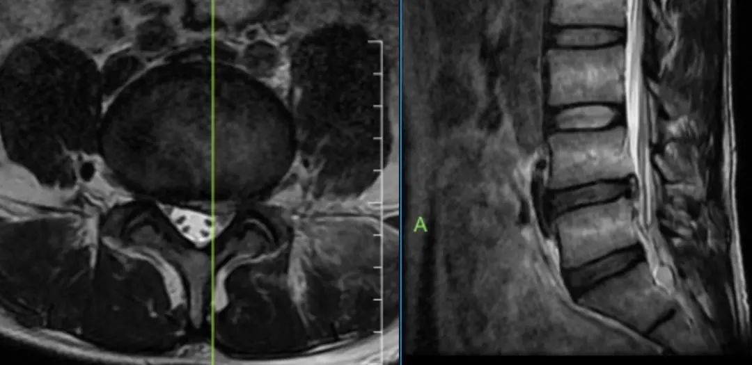
术前及术后核磁共振影像对比发现,术后突出的间盘(髓核)完全去除效果良好,完全保留关节突关节,预计3月后,完整保留的纤维环和后纵韧带将完全回缩。

术前影像

术后影像
曹立新主任总结:近年来,院领导经过统筹研判,制定脊柱微创治疗方针,与以往脊柱开放及微创技术相比,脊柱微创孔镜技术是目前最前进的技术之一。尤伟夫医生目前正在北京大学第三医院学习交流,结合我院丰富的脊柱治疗经验,对技术进行迭代更新,掌握目前最先进的脊柱疾病系统治疗理念及技术,特别是腰椎疾病腰腿疼痛的脊柱微创治疗、靶向治疗、个性化治疗、阶梯系统化治疗,根据不同疾病特点的脊柱疾病为患者选择合适自己的个性化、微创的治疗方案。满足患者术后当天下地活动的愿望,真正地解决了广大患者对于脊柱微创手术治疗腰腿疼痛的强烈需求,大大降低了患者及家属的心理负担和经济负担,完全符合当今快速康复外科(ERAS)理念,为长期困扰广大人民的严重腰腿疼痛问题找到出口,同时也为医院骨科学科建设和临床拓新翻开崭新篇章,为我市及周边人民服务。
(文稿:尤伟夫 编辑:孙双滨 审核:刘 晖 曹立新)







黑公网安备 23020302000012号