我院超声科自2023年9月份开展经食道超声以来,累计检查出阳性患者数十例,其中左心耳血栓一例、卵圆孔未闭两例。经食道超声的应用开辟了心脏大血管影像检查的新视窗,为心脏疾病患者带来更先进、更准确的检查方法,推动了我院心血管疾病精准诊断及治疗再上新台阶。
病例回顾
张某,女,38岁,无明显诱因的反复出现偏头痛,多次于外院就诊,予药物治疗后症状无明显缓解,遂来我院神经内科就诊。考虑张女士症状明显,于是进一步完善食道超声检查,结果得到超声图像印证,张女士患有卵圆孔未闭。为避免患者因长时间卵圆孔未闭而易患血栓,血栓脱落致脑梗的几率,建议患者进行卵圆孔封堵手术。


超声科进行经食道超声心动图检查
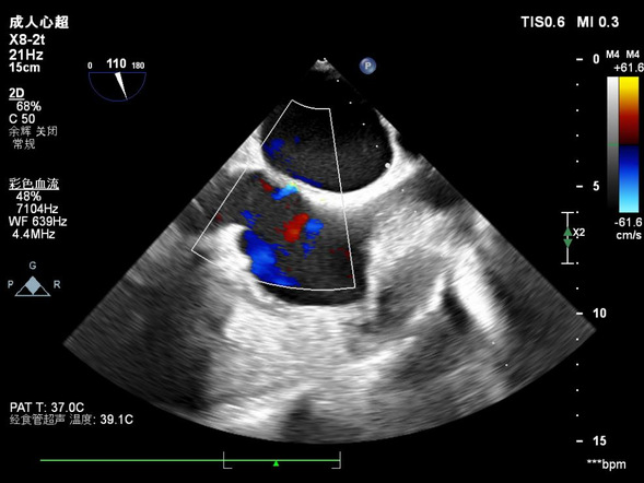
赵某,男,68岁,既往房颤病史3年,临床射频消融术之前完善食道超声检查,食道超声明确诊断:左心耳血栓。临床为左心耳血栓患者及时进行了溶栓治疗,避免了患者因血栓脱落引起的严重并发症。


超声科进行经食道超声心动图检查
经食道超声科普
为什么房颤患者介入手术前需要做经食道超声?这是因为房颤持续48小时,双心房或双心耳易形成血栓,血栓一旦脱落,动脉栓塞,患者致残和致死。我们如何发现心房和心耳处有血栓呢?今天给大家介绍一位心脏“检查官”经食道心脏超声。
问题一:什么是食道超声?
经食管超声心动图检查是将超声探头置入食管内,从心脏后方近距离观察心脏的结构和功能,提供有价值的临床信息,在很多情况下成为心血管疾病诊疗的主要选择和金标准,被称为心脏超声的「鹰眼」。
问题二:食道超声的作用是什么?
与经胸超声心动图相比,可避免肺部气体、胸骨轮廓等干扰,能清晰直观显示心脏解剖结构,在诊断卵圆孔未闭、房间隔缺损、 左心耳附壁血栓、感染性心内膜炎、瓣膜疾病、人工瓣膜置换术瓣周漏等各类疾病时具有更高的准确性。在房颤患者做射频消融术之前必须要完善食道超声检查,防止存在栓子掉入左心耳,导致脑梗等一系列并发症的风险。
问题三:食道超声适应症
1.经胸超声心动图检查显像困难者,如肥胖、肺气肿、胸廓畸形或在近期胸部手术后,以及正在使用机械辅助呼吸的患者。
2.经胸超声心动图检查难以显示的部位,如左心耳、上腔静脉、左右肺静脉以及胸降主动脉,对左右冠状动脉主干的显示等。
3.经胸超声心动图检查难以清晰显示的结构和病变。
问题四:食道超声检查禁忌症
活动性上消化道出血、食管梗阻或狭窄、食管占位性病变、食管撕裂和穿孔、食管憩室、食管裂孔疝、先天性食管畸形、近期食管手术史、食管静脉曲张、咽部脓肿等。
问题五:食道超声常见并发症
按照正确的操作步骤进行TEE检查是一个非常安全的过程,在偶然情况下可能出现的不良反应有:(1)咽部黏膜出血;(2)咽部疼痛或术后吞咽障碍;(3)食管及胃部损伤、出血;(4)一过性高血压或低血压;(5)心律失常;(6)感染;(7)气管压迫所致的通气障碍;(8)黏膜麻醉剂过敏反应;(9)颞下颌关节脱位等。
问题六:检查前注意事项
1. 完成经胸心脏超声检查。
2. 实验室检测:血常规、凝血功能、感染筛查(乙型肝炎、丙型肝炎、艾滋病、梅毒)。
3. 备麻药两支。
4.检查前一天晚上十二点以后禁食、禁水。
问题七:食道超声检查时患者需要做哪些配合
1、签署知情同意书。
2、需要取下活动性假牙。
3、取右侧卧位、头偏向一侧、两腿微屈,注意保持头部不动、尽量头向后仰
4、缓慢深呼吸,嘴巴张开哈气;要咬住咬口器,防止滑脱,口水自然流出即可,以免呛咳。
问题八:食道超声检查后患者需要做什么?
1、检查结束后患者可以平卧休息片刻,观察生命体征平稳后即可返回。
2、检查2小时后可以先喝一口温凉的水,确认无呛咳后再进食,宜进半流食或软食,避免进食生硬、粗 糙、辛辣等刺激性食物。
经食道超声心脏检查换个角度看你的“心”,更多详细信息请来齐医附属三院超声科咨询问诊。
(撰稿:超声科 陆胜楠 编辑:宣传科 林然 审核:超声科 梁笑 宣传科 车琳 商常青)







黑公网安备 23020302000012号