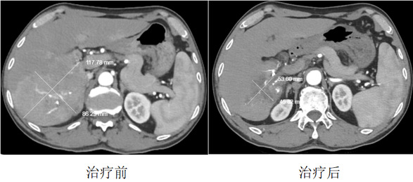
2025年秋天,62岁的聂先生因为肚子不舒服去医院检查,结果查出一个让人揪心的问题——肝脏右叶巨大肿瘤,直径约10厘米,门静脉主干及肝右分支已被癌栓侵占,甲胎蛋白高达13612.2ng/ml。这属于中国《原发性肝癌诊疗指南》中,分期晚、预后差的复杂情况,治疗难度非常大。
面对这样一个“棘手”的病例,我院介入科莫庆国主任团队没有放弃希望。他们依据最新指南,参考国内最权威的肝癌诊疗方案,为聂先生量身打造了一套“组合拳”式的治疗方案,即当前最前沿的“TACE(经导管动脉化疗栓塞)+HAIC(肝动脉灌注化疗)+免疫治疗+靶向治疗”联合策略。这套方案既不只靠单一方法,也不是简单叠加,而是把几种前沿手段巧妙地结合了起来:通过局部“堵住”肿瘤供血、持续向肿瘤“灌药”、同时激活身体自己的免疫力、再加上精准的靶向药攻击肿瘤细胞。可以说,是从多个方向对肿瘤展开了一场“立体战”。

整个治疗过程按部就班、层层推进。2025年10月,我院介入科团队先为聂先生做了肝穿刺,确认了肿瘤的性质,接着马上进行了第一次介入手术(TACE),把肿瘤的“粮草补给”切断。同时开始配合免疫治疗和靶向药物,从全身层面控制癌细胞扩散。到了11月,他又接受了第二次介入手术,这次是结合了持续灌药(HAIC)的方式,进一步加强了局部的打击力度。


让人欣慰的是,聂先生坚持了下来。2026年1月,他复查时做了增强CT,结果让人惊喜:肝脏里原本活跃的肿瘤已经基本“灭活”,原来堵塞血管的癌栓也明显缩小了。同时,他的甲胎蛋白指标大幅下降,意味着肿瘤被控制得很好。无论是从影像上看,还是从血液指标看,疗效都非常显著。

这场生命保卫战的胜利,充分展现了莫庆国主任团队精湛的介入技术、先进的治疗理念,以及在复杂病情面前精准决策的能力。他们不仅熟练运用介入手术这一有力武器,更懂得将多种治疗方法有机结合,把国家指南的专业精髓真正转化为患者生的希望。
聂先生的重生,是晚期肝癌治疗领域一个令人振奋的成果。它生动地证明:即便面对巨大肿瘤合并门静脉癌栓这样的“硬骨头”,通过介入科主导的精准、联合、有序治疗,完全有可能实现病情的大幅缓解,甚至为后续根治性手术创造机会。这不仅为众多类似患者照亮了前路,也标志着我院在肝癌综合诊疗水平上,迈上了一个令人瞩目的新台阶。
齐医附属三院(齐齐哈尔市肿瘤医院)介入科
科室简介
介入科成立于1986年,是黑龙江省西部地区最早开展介入治疗的医院,经过多年发展,现已成为齐市重点专科。去年,我院介入科主任莫庆国凭借其深厚的专业积淀与突出的学科影响力,荣膺主任委员一职,承担起我市肿瘤介入领域统筹协调、诊疗水平提升的重任。团队在莫庆国主任的带领下,能够独立开展神经介入、血管介入、非血管介入、肿瘤介入、综合介入的多项介入技术。多项技术水平省内领先,比如急性缺血性脑卒中机械取栓手术,率先开展了支架取栓、抽吸取栓、支架结合抽吸取栓、支架加抽吸导管加球囊指引导管取栓等多项综合取栓技术;肿瘤的射频消融、碘125粒子植入、动脉栓塞等综合肿瘤介入;经颈静脉门体分流术等血管介入;甲状腺消融技术;下肢静脉曲张消融技术等多项技术填补市内空白。化脓性胆囊炎、大咯血、肠梗阻、胆道梗阻、肝脓肿……这些急危重症往往起病急、进展快,传统开放手术创伤大、风险高,部分患者甚至无法耐受。介入治疗以其微创、精准、高效的特点,成为此类疾病的重要救治手段。
介入科咨询电话:0452-2120937;2120627
莫庆国主任电话:13766563509
(撰稿:介入科 刘艳茹 李彪 编辑:宣传科 李宽 一审:介入科 莫庆国 二审:宣传科 车琳 三审:张娜)







黑公网安备 23020302000012号