一次意外,让年轻的小伙子来到了瘫痪深渊的悬崖边。小张一名十分热爱运动、充满活力的青年警官,但却因为训练时不慎扭伤了颈部,导致了双上肢麻木、左下肢无力,走起路来脚下无根,像踩在棉花上。随着症状的迅速加重,小张在家人的陪同下来到我院骨外科四病区李烁团队就医,医疗组组长李烁副主任经详细问诊查体及阅片后以“颈脊髓损伤”收治入院。
颈椎病原本是中老年群体高发的疾病,但随着现代人生活方式的改变,颈椎病愈来愈呈年轻化趋势。颈椎管狭窄的病理变化使得颈部脊髓处于非常狭小的空间。如有外伤,尤其是挥鞭伤或者是颈椎的过伸伤,常常会造成颈部脊髓损伤,产生不同程度的感觉、运动功能障碍,高位脊髓损伤甚至可造成生命危险。小张正是因为在颈椎间盘突出的基础上,轻微的颈部外伤即引起了颈部脊髓损伤的严重后果,此时随着症状的不断加重,小张的病情已如临深渊。
入院后李烁团队迅速组织医护人员为其完善相关检查,制定手术方案,在科室主任李宝权的主持下,科室医生进行了详尽的术前讨论,就患者的疾病预后以及术中术后可能发生的情况及处理方法进行了充分的分析与准备,确定了在全麻下行颈椎前路椎间盘切除、椎体间植骨融合术(ACDF)的手术方案。颈椎前路椎间盘切除、椎体间植骨融合术(ACDF)包括减压和重建稳定两部分。减压是指切除病变节段的椎间盘组织和上、下软骨板、突入椎管的髓核组织和骨赘,椎体间植骨重建椎体间稳定性。如果判断有后纵韧带的肥厚,应该切除做到彻底减压。术中使用钛板内固定具有维持植骨块位置、椎体高度,提高融合率等优点。被减压去除的椎间盘由椎间融合器(Cage)替代,具有提高植骨融合率、维持和恢复椎间隙高度等优点。植骨材料可以为自体髂骨,也可以使用同种异体骨、人工植骨材料等。
李烁团队为患者顺利实施手术,减压充分,重建了颈椎序列及稳定性。随着体内定时炸弹的成功拆除,术后小张的肢体无力及麻木症状明显缓解,并将会随时间推移进一步改善。骨外科四病区李烁团队将用扎实的专业知识以及丰富的临床经验回馈身边广大患者朋友,为您的脊柱健康保驾护航。(供稿:骨外科四病区 李烁 责编:宣传科 吕唱 一审:李烁 二审:高秀文 三审:刘波)

术前核磁检查

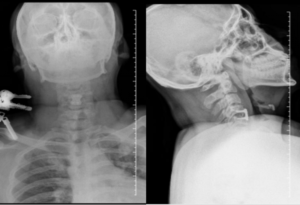
术后X线

患者与李烁团队合影
【专家简介】

李烁:骨外科四病区副主任、副主任医师、医学博士、硕士研究生导师
齐齐哈尔市事业单位突出贡献专业技术人员;任黑龙江省医促会骨科青委会副主任委员、黑龙江省老年医学研究会关节外科专业委员会委员、黑龙江省康复医学会关节镜与关节修复专业委员会委员;近年以第一作者发表SCI论文1篇,核心期刊论文1篇,国家级期刊论文近10篇;主持黑龙江省自然科学基金项目1项;主持完成齐齐哈尔市科学技术指导性计划项目1项;主持项目获黑龙江省卫健委医疗卫生新技术一等奖1项、三等奖1项。
擅长单边双通道脊柱内镜技术治疗腰椎退行性疾病,关节镜技术治疗膝关节半月板、韧带损伤及髋、膝关节炎的保守与手术治疗。







黑公网安备 23020302000012号