近日,患有带状疱疹2个多月的患者张某到我院疼痛科就诊。入院前,患者胸部出现针刺样疼痛,十分痛苦难忍,且局部出现皮肤痛觉过敏等症状,穿衣、盖被等触碰的动作都发生剧烈的疼痛,导致夜间无法入睡,严重影响日常生活。此前经过口服镇痛药物、针灸、拔罐等治疗措施,疼痛未见缓解。
入院后,我院疼痛科医生王鑫凯对患者进行脉冲射频治疗,治疗过程仅30分钟。治疗后患者疼痛明显缓解,仅住院治疗一日后便康复出院了。出院前,患者为我院疼痛科送上锦旗,“我得了带状疱疹十分痛苦,疼痛感是一天比一天重,疼的睡不着觉,经过附属三院医生的治疗,我现在感觉一点也不疼了,十分轻松”,患者李先生说道。

患者送上锦旗表示感谢
科普知识
三叉神经痛、带状疱疹后神经痛又称为神经病理性疼痛。由于神经受损,出现电击样、针刺样、撕裂样的疼痛。常常表现在无诱因的情况下出现难以忍受的剧烈疼痛,通过药物治疗很难缓解。
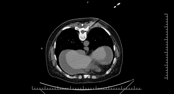
脉冲射频治疗是在CT定位下,准确找到受损神经,通过对神经进行调节,可以有效的治疗此类疼痛。

背部、腹部、胸部带状疱疹

CT下定位穿刺针


脉冲射频治疗
科室介绍
齐齐哈尔医学院附属第三医院疼痛科成立于2020年,科室拥有先进的仪器设备,技术力量雄厚。该科室一直重视本专业前沿技术的发展,在诊治慢性疼痛,晚期癌痛,均有较深造诣。主要治疗范围:带状疱疹后神经痛、三叉神经痛,缺血性疼痛,晚期癌痛,慢性颈肩痛、腰背部及四肢痛、膝关节痛,各种难治性头痛。
常见疾病包括:各种原因引起的腰腿痛、颈椎病、颈源性头痛、不明原因胸腹部疼痛、会阴痛、肋间神经痛、胸腰椎压缩性骨折、下肢动脉闭塞痛、肩周炎、关节痛等。
咨询电话:王鑫凯医生 15145204530
(撰稿:疼痛科 王鑫凯 编辑:宣传科 林然 审核:李玉雪 宣传科 车琳 商常青)







黑公网安备 23020302000012号