55岁的齐先生因左膝关节肿痛导致活动受限,齐医附属二院骨外科四病区(运动医学科)采用ACCK翻修膝关节置换系统全膝关节置换术为其解决病痛,得到患者和家属的一致好评。

患者术前X线片

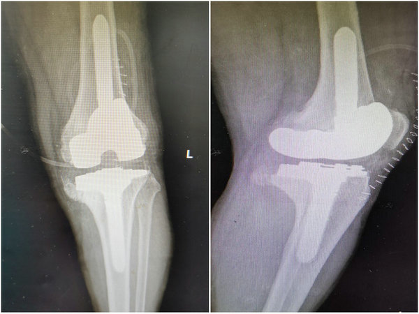
患者术后X线片
【典型案例】
近日,家住齐齐哈尔市的齐先生因左膝关节疼痛难忍,影响日常生活,慕名来到齐医附属二院骨外科四病区(运动医学科)就诊,李宝权主任通过询问病史得知,患者4年前无明显诱因出现左膝关节肿痛,劳累后症状加重,因不影响日常生活未就医诊治。病程中,患者左膝关节肿痛呈进行性加重,现左膝关节内翻畸形伴屈伸活动受限,不能长距离行走,严重影响其日常生活质量。李宝权主任带领团队认真研究患者病情,对其进行了仔细查体,并结合影像学检查,考虑到患者膝关节极度内翻畸形伴屈伸活动受限、内侧平台骨缺损严重,传统的全膝关节置换可能达不到预期效果,在充分考虑术中可能出现的问题及术后可能存在的并发症基础上,经过严谨的讨论,经患者知情同意后,采用ACCK翻修膝关节置换系统行全膝置换的治疗方案。在李宝权主任团队及麻醉师、手术室的共同配合下,经过两个多小时紧张的手术,齐先生被平安送回病房。
【科普链接】
全膝关节置换术虽然是关节外科手术中比较常见术式,但关键在于对患者的个体化治疗。针对患者膝关节极度内翻畸形伴屈伸活动受限、内侧平台骨缺损严重,ACCK翻修膝关节置换系统是最优选择。该假体系统广泛适用于各种原因引起的不稳定人工膝关节翻修术,极度内外翻畸形和胫侧副韧带松弛的复杂初次膝关节置换。而翻修适应症为股骨/胫骨侧骨缺损、无法稳定固定(需配合延长柄使用固定)、胫骨侧副韧带不稳。

ACCK翻修膝关节置换系统
【专家档案】

李宝权:骨外科四病区(运动医学科)主任 主任医师 教授 硕士研究生导师
2010年6月毕业于延边大学医学部骨外科专业,研究生学历,硕士学位。2013年以访学者身份在哈医大一院访学一年。兼任黑龙江省医学会运动组委员,发表SCI论文一篇,著作一篇,国家级北大核心论文多篇,主持市级及院级科研项目多项,获市科技进步奖一项,院新技术奖二项,多次教学查房获奖。对脊柱和四肢及关节的常见病和多发病的诊治,尤其在运动医学相关的骨与关节疾病的诊断和治疗具有丰富的临床经验。
擅长关节镜下微创治疗髋、膝、踝、肩、肘、腕各种关节疾病。熟练掌握四肢骨折的钢板内固定或带锁髓内钉内固定及各种外固定架固定术,各种骨关节损伤的修复术及关节镜下韧带重建术,四肢骨关节或神经损伤后的畸形矫正或功能重建术等大部分创伤骨科手术。尤其擅长对关节炎、关节韧带损伤、关节滑膜炎的诊断和治疗,以及全髋关节、全膝关节置换等手术技术,同时在手外伤、皮瓣移植等方面颇有专长。

于雷:骨外科四病区(运动医学科)医师 本科学士
擅长脊柱和四肢及关节的常见病和多发病的诊治,尤其在手、足外伤及皮瓣移植等方面的治疗具有丰富的临床经验。(供稿:骨外科四病区 张程 责编:宣传科 吕唱 一审:李宝权 二审:高秀文 三审:刘波)







黑公网安备 23020302000012号