“谢谢你们把宝宝照顾得这么好,感谢你们的付出……”,近日,患大量纵隔气肿的范宝宝康复出院了,宝宝爸爸为医务人员深深的鞠了一躬,以表达深深的感激之情,这是对我院新生儿科全体医护人员的精湛技术和精心护理表示充分的肯定。

患儿出院前家属与杜龙主任合影
4月5日,新生儿科主任杜龙接到了一通来自加格达奇的家属咨询电话:36周早产小宝宝,刚出生就出现了呼吸费力的情况,并且需要吸氧治疗。在通过跟家长的多次沟通病情以及了解新生儿目前的状况后,杜龙主任给出一套专业的治疗方案。杜龙主任表示,患儿为早产儿,有胎膜早破史,极易合并宫内感染、甚至出现新生儿呼吸窘迫综合征。患儿家属听到治疗方案后,对我院新生儿科十分信任,同时考虑到当地医院治疗条件有限,于是决定转至我院治疗。
虽已是深夜,杜龙主任仍不放心患儿,为了更精准治疗这位特殊的小宝宝,杜龙主任一直等着他的到来。入院后,患儿呻吟明显、呼吸急促、哭闹不易安抚,杜龙主任了解了全部的病史并亲自为患儿查体,评估患儿有明显的呼吸困难的表现,结合患儿为早产儿、生后即有呼吸困难且呈进行性加重等情况,最终诊断为新生儿呼吸窘迫综合征。科里的医务人员为小宝宝实行气管插管,连接呼吸机辅助通气,紧急予肺表面活性物质改善肺顺应性,随着患儿血化验的回报,PCT高达33ng/mg,白细胞:24.53x10^9提示明显的细菌感染,新生儿败血症诊断明确,予升级抗生素重拳出击积极控制感染为之后的治疗争取时间,随后予丙种球蛋白免疫支持,同时患儿出现了凝血功能异常,最后予输注血浆对症治疗后,病情暂时稳定下来。

患儿纵隔气肿CT影像

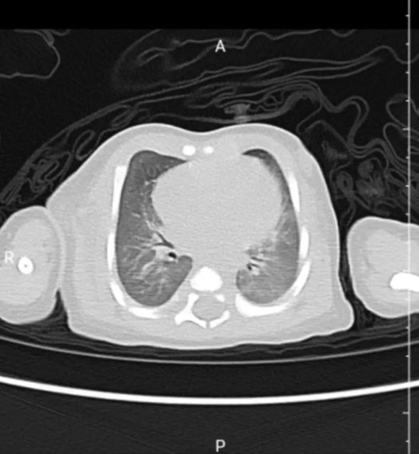
出院前复查胸部CT影像
入院的第2天,医生发现患儿突然出现呼吸困难加重,烦躁不安,哭闹不易安抚,综合评估后不除外气漏综合征可能。于是立即完善胸部CT检查,由于患儿需呼吸机辅助呼吸,CT检查只能在持续复苏囊加压给氧下完成,夜班胡世娇医生考虑患儿病情危重,置身陪同患儿完成检查,虽冒着被放射性辐射的风险,却义无反顾。CT显示患儿双肺透亮度进一步下降,通气功能障碍,双肺内炎性病变严重,并出现了大量纵膈气肿,右肺下叶可见气囊腔暂不除外先天发育异常,病情变得复杂起来。
此时已是深夜,新生儿科杜龙主任立即组织抢救,并请影像科、上级医院新生儿外科医师紧急会诊。经过抢救后,患儿病情暂时稳定下来。杜龙主任和患儿爸爸交代了病情,“由于纵膈气肿的存在,常频呼吸机改善通气的同时可能会加重纵膈气肿,病情可能会进一步加重甚至危及生命,现在需要用高频呼吸支持辅助通气。”这对患儿及家属来说都是一项巨大的考验,经过杜龙主任耐心的沟通和疏导,患儿家属坚定治疗的决心。

新生儿科护士长张帆为高频机械通气患儿做呼吸道管理
在杜龙主任的带领下,全体医护的共同努力下,小宝宝成功完成了高频呼吸机辅助通气,复查血气分析和胸部CT显示病情逐渐得到控制,小患儿不再烦躁不安、呼吸困难的情况得到缓解,人机配合良好,患儿熟睡的样子看起来很是舒服。在4天的日日夜夜的守护下,小宝宝辅助通气的呼吸机由高频转为常频,后顺利脱机。经过后续的治疗,小宝宝顺利出院。
高频振荡通气治疗新生儿气漏综合征在我院属首例。该项技术的顺利开展,填补了我院的技术空白,是我院新生儿科在急危重症技术上的一大进步,标志着我院新生儿科的专业综合能力和整体救治能力上了一个新的台阶,为日后治疗该类患儿奠定了良好的基础。
科普知识:
纵膈气肿是一种由于多种原因致使空气进入纵膈引发的疾病。通常新生儿纵膈气肿的发病率是比较低的,这一纵膈区域里有心脏及出入心脏的大血管、气管、食管、神经等,是重要生命器官的所在地,纵膈气肿能引起循环、呼吸、消化和神经系统的功能障碍,加上长时间缺血缺氧,也很可能诱发脑部疾病,情况十分危急。
高频震荡通气(HFOV)为一种通气频率在3-20Hz(180-1200次/分钟)的,能够以解剖死腔容量大小范围内的较小通气容量进行有效通气,并以主动式吸入和主动呼出动作为特性的通气模式。
高频振荡通气适用于肺气漏综合征、胎粪吸入综合征(MAS)、新生儿持续性肺动脉高压(PPHN)、肺发育不全、早产儿RDS的治疗。

杜龙,新生儿科病房主任、主任医师、儿科学教研室副主任。
学术地位:
黑龙江省中西医结合协会儿科分会委员;
齐齐哈尔市医学会儿科专业委员会委员;
齐齐哈尔新生儿窒息复苏小组成员。
专业特长:从事儿科临床工作近25年,曾在北京儿童医院进修一年,对新生儿各种急危重症抢救及部分疑难症有丰富的临床经验,熟练应用气管插管,脐静脉插管及呼吸机等操作,救治早产儿体重为800g,致力于超低出生体重新生儿(小于1000克)诊断及治疗的研究,对于早产儿的诸多并发症有着丰富的治疗经验,如呼吸窘迫综合征,DIC,缺氧缺血性脑病,早产儿脑损伤,颅内出血,脑梗塞等。
(撰稿:新生儿科 张晓佳 编辑:宣传科 林然 审核:新生儿科 杜龙 宣传科 车琳 商常青)







黑公网安备 23020302000012号