1月10日,齐医附属二院肿瘤外科与医学影像中心联合成功完成齐齐哈尔市首例肺结节国产氩氦刀冷冻消融术,标志着我院在肺肿瘤的微创消融治疗上又迈上新台阶。

【病例介绍】
67岁的王阿姨,右肺上叶混合磨玻璃结节,穿刺活检诊断为肺腺癌,由于肺脏功能差,加之有脑梗塞病史,开刀及胸腔镜手术风险极大,并且肿瘤位于肺尖部,这个部位行常规的热消融手术,会引起强烈的疼痛,患者也很难耐受。肿瘤外科一病区通过详细的评估及充分沟通后,为患者制定了“氩氦刀冷冻消融术”的方案。
经过肿瘤外科一病区郑春雷主任与医学影像中心王余广主任、王东旭副主任周密的术前准备后,在CT室为患者进行了肺肿瘤氩氦刀冷冻消融术。
在CT引导下精确设计穿刺点及穿刺路线,从患者后背部肋间隙将氩氦刀消融针准确的穿刺到达肿瘤内,在短时间内极速降温,在针尖周围逐渐形成一个直径约4cm的冰球,将肿瘤病灶完全覆盖,通过3个降温-复温循环,使肿瘤细胞爆裂死亡,彻底摧毁肿瘤细胞组织。术后即刻复查CT显示肿瘤消融完全,达到预期治疗效果。

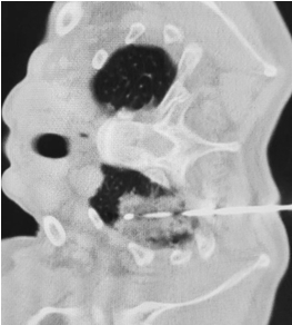
术中CT引导图像
“整个过程我都很清楚,除了手术时后背稍微凉凉的,没有什么不舒服,手术很快,45分钟手术就结束了,术后只有留下1个小小的针眼,特别是没有疼痛感。”王阿姨说。
【科普之窗】
冷冻消融术是欧美国家普遍采用,近年来在国内逐步普及的高精尖微创肿瘤治疗技术。手术中使用的氩氦刀不是真正的刀,而是一根中空的消融针,在CT引导下将针尖仅有1.7-2.4毫米的刀头准确穿刺进入病灶内部或者周围,布针完毕后首先启动氩气,氩气在刀尖急速通过产生节流效应,针尖迅速降温,在15秒内即可将病变组织冷冻至零下150℃~170℃, 使肿瘤内微血管栓塞, 肿瘤细胞内形成冰晶。冷冻持续10~20分钟后,关闭氩气,再启动氦气,氦气在刀尖急速通过,可使病变组织温度从零下150℃再上升至零上20℃~40℃, 使冷冻后的肿瘤细胞内冰晶融化,肿瘤细胞爆裂、死亡。术中通过2~3次的冻融循环,对病变组织摧毁尤为彻底,还可以激活机体对肿瘤的免疫效应。
氩氦冷冻治疗时,其降温及升温的速度、时间和温度,由计算机精确设定和控制,消融摧毁区域的尺寸与形状在CT等影像下清晰可见,可实时监测,保证冷冻“冰球”形成的范围既完全覆盖肿瘤,又能最大程度减少对周围正常组织器官的损伤。氩氦冷冻治疗为纯物理治疗,对各类实体肿瘤均有很好的治疗效应,治疗过程微创、精准,整体安全性高,术中患者几乎无痛感,耐受性好, 多数情况可局麻下进行,对于人体造成的创伤和不良反应远低于常规的肿瘤治疗手段,又被誉为“绿色疗法”。对于早期肿瘤可以达到和外科手术接近的治愈效果,对于晚期丧失手术机会,高龄,不能耐受全身麻醉的肿瘤患者也可以应用,通过局部治疗,达到减轻瘤体负荷,缓解疼痛压迫,延缓肿瘤进展的作用。

冷冻消融治疗肺癌的适应征?
1. 患者的肺功能、全身状态差,年龄大不能耐受开胸手术的肺癌患者;
2. 影像学评估无法彻底切除的原发性肺癌;
3. 周围型肺癌累及胸膜以及胸壁无法彻底切除者;
4. 采用多种治疗方法,局部病灶稳定,但不能消失者或缩小不明显;
5. 全身其他部位恶性肿瘤发生的肺转移癌;
6. 癌肿巨大,累及纵隔、心包,通过冷冻减瘤术,为临床综合治疗创造条件;
7. 局限性肺癌,有手术切除适应症,但患者拒绝手术治疗者;
8.化疗及靶向治疗耐药等。
冷冻消融术风险大吗?
肺癌冷冻消融手术是一种微创的治疗方式,通过CT影像学手段引导对肿瘤精准穿刺,精确治疗。风险较小,治疗有效性高,对正常组织破坏少,可反复施行,毒副作用也较少,且对病人的损伤较小,术后恢复快。
【科室简介】
齐齐哈尔医学院附属第二医院肿瘤外科是齐齐哈尔医学院重点专科,齐齐哈尔市重点专科。齐齐哈尔市领军人才梯队。在肿瘤多学科诊疗MDT方面优势明显,微创及腔镜手术处于国内领先水平。擅长胰十二指肠切除术,肝门部胆管癌切除术,胸中段食管癌切除术,大肠癌NOSES手术,甲状腺癌腔镜手术,单孔腔镜手术。最新引进了最先进肿瘤热疗、热灌注、乳腺微创旋切系统。以恶性肿瘤穿刺活检、微波消融、放射性粒子植入等微创诊疗为特色。开展基因检测,新辅助化疗、靶向治疗、免疫治疗、生物治疗等综合治疗手段。有专业的中心静脉输液港、PICC团队和造口护理、伤口护理团队。有成熟的日间手术、日间化疗解决方案。针对肿瘤病人有个体化、专业化的全程管理方案。
【专家简介】

郑春雷: 肿瘤外科一病区主任 第三届医学院名医
外科教研室主任 主任医师 教授 硕士研究生
2001年毕业于佳木斯大学医学院,2008年毕业于哈尔滨医科大学,外科学硕士。现任肿瘤外科一病区主任,外科教研室主任,主任医师,副教授,齐齐哈尔市肿瘤外科领军人才梯队后备带头人,市重点专科肿瘤外科后备带头人。兼任黑龙江省医师协会肿瘤外科分会委员、黑龙江省医学会甲状腺肿瘤专业委员会委员、黑龙江省抗癌协会甲状腺肿瘤专业委员会青年委员、齐齐哈尔市医学会甲状腺肿瘤专业委员会副主任委员、齐齐哈尔市医师协会癌症姑息治疗专业委员会副主任委员等。2017年于哈尔滨医科大学肿瘤医院进修,2018年于青岛大学进修微创介入医学。主持市指令性科研2项,获市科技进步二等奖1项、三等奖1项;主持省级教学科研1项;医学院教学科研1项。国家级北大中文核心期刊发表论文4篇,国家级科技核心期刊发表论文5篇,省级科技核心期刊发表论文5篇。参编人民卫生出版社“十二五规划教材”一部。参编人民卫生出版社“十三五规划教材”《外科学》一部。主编编写专著三部,20余万字。
擅长胰十二指肠切除术,胸中断食管癌切除术,颈部淋巴结清扫术,全结肠切除回肠贮袋功能重建等颈部、胸部、腹部复杂手术。擅长甲状腺、肝脏、肺脏微波及射频消融手术。肿瘤穿刺活检,放射性粒子植入术。肿瘤化疗,靶向治疗,免疫治疗。

王余广:医学影像中心主任、CT室主任、
医学影像教研室主任 主任医师 教授
1996年毕业于齐齐哈尔医学院,学士学位。中国医药教育协会介入微创专业委员会,黑龙江省机器人与人工智能医学会分会,黑龙江省抗癌协会肿瘤影像专业青年委会,齐齐哈尔市CT专业委员会,齐齐哈尔中西医结合影像专业委员会等委员。2007年在上海复旦大学附属中山医院进修学习影像诊断。2012年于哈医大四院学习血管CTA后处理及胸部影像诊断。发表北大核心期刊3篇 SCI2篇。参与专业论著和专业教学辅导书4部;第一或通讯作者发表论文20余篇。负责或参与完成医疗科研及教学科研五项。荣获齐齐哈尔市科技进步二等奖、齐齐哈尔哈尔医学院教学成果二等奖。
长期从事于各系统疾病的影像诊断和血管CTA得诊断及评估,擅长胸部、腹部疾病的诊断、化学消融、射频消融、放射性粒子植入及胸腔闭式引流。(供稿:医学影像中心 王东旭 责编:宣传科 吕唱 一审:王余广 二审:宫月 三审:刘波)







黑公网安备 23020302000012号