1月24日,大年初三,本是欢度新年,阖家团圆的日子,我院神经、介入团队却忙碌在与死神赛跑的第一线。
当天15点47分,一位老年男性患者在家中看电视时突发右侧肢体活动不灵,不能言语,家属紧急将其送往我院急诊就诊并联系神经内五科迟景宏主任。16点40分,患者在家属陪同下来到我院急诊。迟景宏主任在紧急查看患者病情并完善相关检查后,果断判断患者为急性大血管闭塞,通过与患者家属交代病情,征得了患者家属的同意,决定对其行静脉溶栓治疗。经验丰富的迟景宏主任判断单一溶栓难以缓解患者大血管闭塞所导致等症状,立即请介入放射科刘琳主任、莫庆国副主任进行会诊,建议桥接取栓。17点25分,患者顺利完成主动脉弓上脑血管造影证实左侧大脑中动脉下干闭塞。根据患者病情,神经、介入团队经商议后决定行BADDASS治疗,三件套组合:BGC+中间导管+长取栓支架,交换8F动脉鞘,引入BGC:8F×95cm;颅内支持导管:5F*125cm;取栓支架:4mm*20mm至远端病变血管,透视下释放取栓支架至病变血栓处,停留8分钟后取出大量血栓,一次取栓成功,达到三级再通。复查造影见左侧颈内动脉、左侧大脑前动脉、左侧大脑中动脉显影正常,血流改善,各分支显影良好,M1段未见明显狭窄,术中复查C臂CT未见颅内出血。19点10分,手术顺利结束,术后患者意识清楚,肢体活动较前明显改善,后经对症及康复治疗,患者于2月1日顺利出院,出院时患者恢复如常。通过医生的准确判断、过硬的医疗技术、团队的紧密配合,患者从入院到成功救治在150分钟内顺利完成。

弓上脑血管造影

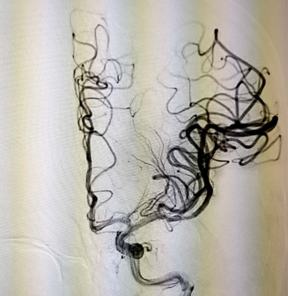
术前左侧颈内动脉正位造影

术前左侧颈内动脉侧位造影

术中取出血栓

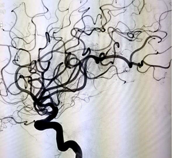
术后颈内动脉正位造影

术后颈内动脉侧位造影

患者取栓后已可以下床行走
机械取栓技术经过近年快速发展,已成为治疗大血管闭塞卒中的“金标准”。众多取栓技术中,BADDASS取栓技术可谓是“皇冠上的明珠”,囊括了目前几乎所有的最先进取栓理念。我院介入科率先在齐市地区开展此项技术,标志着我院脑血管病介入治疗处理对高负荷大血栓病例的技术手段与时俱进,并取得了长足的进步。
近年来,我院神经科及介入科联合协作,积极开展静脉溶栓及桥接取栓、抽吸取栓、支架联合抽吸以及BADDASS等一系列先进取栓技术,成功挽救大批危重卒中患者的生命。介入科、神经科将持续运用高水平的医疗技术和高质量的医疗服务,为鹤城人民的生命安全和身体健康保驾护航。
科室简介


刘琳:介入放射科主任、主任医师、医学硕士,龙江名医。中国抗癌协会肿瘤微创治疗专业委员会粒子治疗分会委员,黑龙江省抗癌协会肿瘤微创介入专业委员会常务委员,黑龙江省医师协会神经介入专业委员会常务委员,黑龙江省医学会肿瘤介入治疗分会副主任委员,黑龙江省医学会粒子治疗分会副主任委员,齐齐哈尔医学会脑卒中预防与治疗专业委员会副主任委员,齐齐哈尔医学会肿瘤介入治疗专业委员会主任委员。1991年毕业于南京铁道医学院医学系,2008年毕业于哈尔滨医科大学,获硕士学位。曾从事ICU工作,有丰富的临床经验。曾先后在南京铁道医学院附属医院、哈尔滨医科大学附属第四医院进修。擅长良恶性肿瘤、股骨头坏死、周围血管疾病、不孕症的介入治疗。在国家级杂志发表论文多篇。主持并参与完成省级科研成果多项。





我院介入科成立于1986年,是黑龙江省发展最早的介入专科之一。随着全国介入水平的不断提高,我院介入科也有十分显著的发展,治疗方法全面、多样,疾病处理办法、治疗理念领先国内大医院水平。
目前科内能开展的手术及治疗的疾病有:肝癌、肺癌、肾癌、胃肠道肿瘤等各种恶性肿瘤的血管内介入治疗及肿瘤的射频消融、微波消融、碘125粒子植入治疗;肝、肾等实质脏器囊肿、脓肿微创介入穿刺引流;胆道系统炎症、急性胆囊炎、胆管炎、肿瘤、梗阻性黄疸、胆道、胆囊微创介入外引流,胆道、食道支架术;输卵管阻塞所至不孕症;股骨头无菌性坏死;咯血、消化道大出血、急诊止血、肝硬化门静脉高压TIPS手术;胃造瘘、肠梗阻导管植入;各占位性病变穿刺活检、穿刺定位,四肢血管狭窄成形术;神经介入包括:脑血管造影,急性脑梗死介入取栓术,脑动脉瘤介入栓塞,颈动脉、椎动脉、锁骨下动脉支架植入术;脑动脉瘤介入栓塞、脑血管畸形治疗等项手术。从手术难度及预后方面市内领先,危重患抢救成功率高。
介入科咨询电话:0452-2120937







黑公网安备 23020302000012号