近日,齐医附属二院神经内科六病区凭借精湛的医术和精心的护理,成功救治一名102岁老人,让生命垂危的老人转危为安,康复出院。
家有一老,如有一宝。对于102岁高寿的曹奶奶一家来说,老人可是家里人的“宝中宝”。但自从2022年底曹奶奶感染新冠病毒后,可着实让家里人都慌了神。起初,曹奶奶开始出现发烧、咳嗽,精神也日渐萎靡、每天昏昏沉沉、食欲不振,家人给曹奶奶吃了退烧药也不见效,便赶紧带着曹奶奶去当地医院就诊,肺部CT显示,她的双肺已出现肺炎。
鉴于曹奶奶年事颇高,当地医院建议家属立刻带老人去上级医院进行治疗。12月29日,家人带着曹奶奶慕名来到齐医附属二院神经内科六病区就诊。
得知科室要来一位百岁老人时,王岩主任早早就带领神经内科六病区的医护人员做好了充足地准备。虽然一切都准备好了,但看到高龄曹奶奶被家人推进病房后,科室医护人员手中还是捏了一把冷汗。

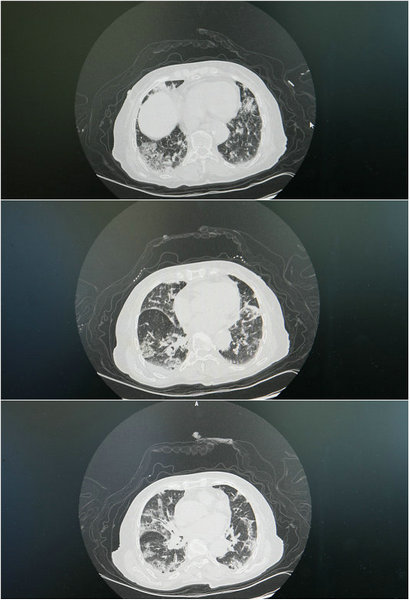
治疗前肺部CT显示
曹奶奶病情非常严重,核酸阳性、高热不退、呼吸困难、精神恍惚,嗜睡症状明显,血氧仪显示血氧饱和度83%,王岩主任看到家属带来的肺部CT后,考虑到曹奶奶肺炎为病毒、细菌混合感染,立即为曹奶奶做了全面检查,利用面罩吸氧,给予抗凝药物、激素药物治疗和营养支持,以及相关对症治疗的同时,还是向家属下达了病危通知书,王岩主任安排技术过硬的护士组成护理组,对曹奶奶进行一级护理,病房也是离护士站最近的,随时准备应对突发状况。
完善相关检查过后,曹奶奶的肺部CT显示:炎症非常严重!在紧急情况下,王岩主任邀来巡诊医师组呼吸内科专家顾泽鑫等专家进行集体会诊。
考虑到曹奶奶年龄过高,巡诊组专家严格遵照新型冠状病毒救治指南,并结合王岩主任的治疗方案,建议再增加抗凝药物的治疗时间,且考虑到采用激素治疗会导致老人骨质疏松,王岩主任等专家决定在运用抗凝药物的同时,辅以患者改善骨质疏松药物的配合治疗。

神经内科六病区王岩主任为百岁老人曹奶奶查体

巡诊医师组呼吸内科专家顾泽鑫为患者进行检查
但考虑到为如此高龄的老人实施救治,还是存在极大风险的,这就需要家属的积极配合。于是,王岩主任向家属交代了治疗风险和治疗方案后,家属不仅对齐医附属二院和王岩主任充分信任,同意采取专家提出的治疗手段,同时也表示出他们的充分理解,毕竟曹奶奶年高体弱,也清楚老人感染新冠严重时会危及生命。
经过几天的对症治疗,曹奶奶意识逐渐恢复,无面罩吸氧时血氧饱和度已达到90%以上,也有了食欲,可以正常进食,病情也随之奇迹般地好转起来。如今,曹奶奶的核酸转阴,在家人的搀扶下也能下地走路了。

王岩主任等叮嘱曹奶奶家属出院后注意事项

治疗后肺部CT显示明显好转
新春将至,曹奶奶在神经内科六病区的精心救治下也将痊愈出院。曹奶奶的家人,十分激动地握着王岩主任的手说道:“非常感谢齐医附属二院和王主任团队的细心照顾与救治,将老人从‘鬼门关’里拉了回来,又延续了老人的生命。王岩主任每天亲自来查看老人的状况,护士们也每隔一小时就来看望病情,这份对患者事无巨细地关心让我们深受感动,不是你们全力以赴地救治,老人家也不会出现奇迹”。







黑公网安备 23020302000012号