患者王某某因反复腰疼伴左下肢疼痛麻木多年,经多次保守治疗无效,来到医院骨三科就诊。经查王某某的腰椎MRI显示:腰3-4,腰4-5及腰5骶1椎间盘突出症。后经过仔细查体并详细追问患者病史,发现患者主要为腰4及骶1脊神经根性疼痛症状。骨三科朱剑锋主任根据患者的病情,在与其家属充分沟通后,决定与CT科王余广主任共同为她实施“CT引导下选择性腰脊神经根阻滞术”。
CT引导下选择性腰、骶神经根阻滞术是治疗腰间盘突出症微创方法之一,创口大约1毫米针眼大小。术后患者左下肢疼痛麻木的症状消失,且第二天,原本被迫弯腰走路的患者,可以直起腰正常行走,痊愈出院。
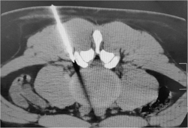
CT引导下选择性腰、骶神经根阻滞术是在CT机引导下,对可能引起神经根痛的病变神经进行穿刺阻滞的微创技术,由于CT扫描软组织分辨率高,可清晰显示神经根、背根神经节和周围组织结构,在CT引导下能准确选择最佳穿刺点、穿刺角度及深度,使针尖准确到达神经根周围位置,并能避开血管等重要结构,使手术安全、准确,用药量少,并大大降低了并发症的发生率。

穿刺针刺入左侧L4神经根周围脂肪间隙内

穿刺针精准刺入骶1孔







黑公网安备 23020302000012号