近日,我院普外三科(肿瘤外科)团队在邵学谦主任的带领下,成功为一名74岁高龄患者实施高难度巨大高危腹部肿瘤切除术。手术精准判断、攻坚克难,成功摘除直径达15厘米的巨大肿瘤,为患者赢得生机,术后病理结果验证了术前精准判断,彰显了团队精湛技术与担当精神。
患者因体检发现腹部巨大肿物(约15×12cm)入院。影像学检查一度提示肿瘤来源存疑(倾向胰腺体尾部或肠系膜)。我院普外三科主任邵学谦凭借丰富经验与细致分析,在术前讨论中做出关键判断:该肿瘤极可能来源于胃部。这一基于肿瘤位置、活动度及毗邻关系的深度分析,为后续高风险手术精准导航。

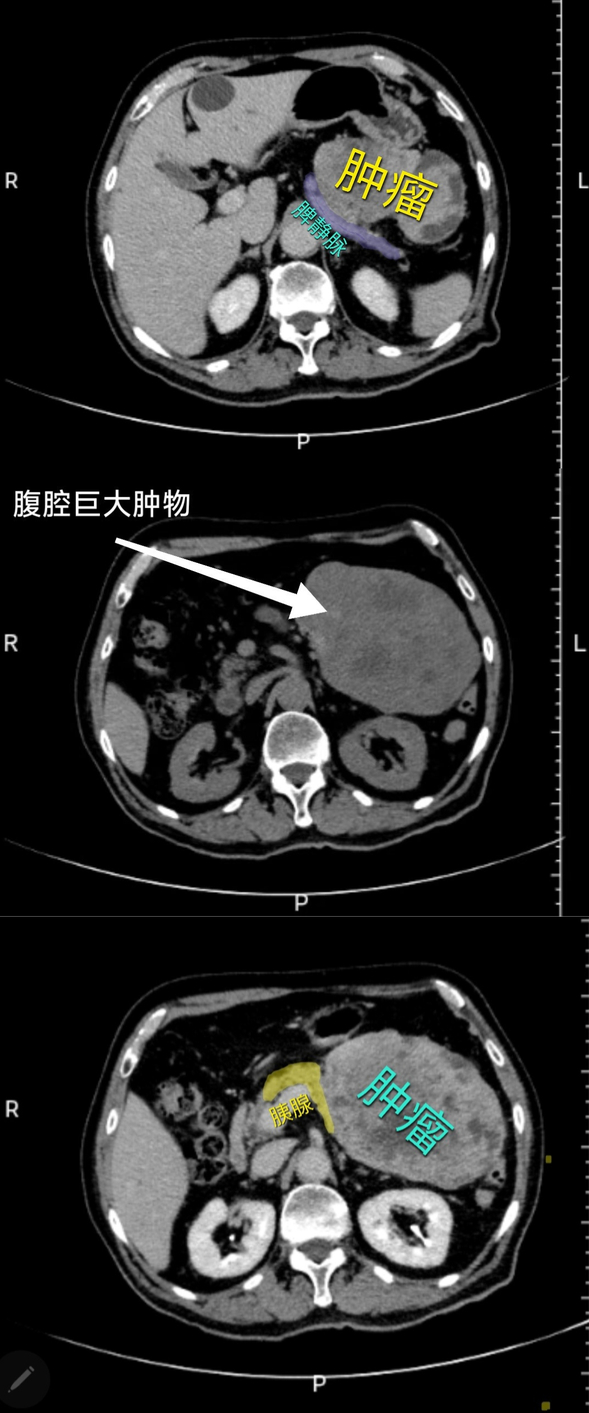
术前腹部CT
据了解,肿瘤直径远超10厘米,血供丰富,剥离中大出血风险极高;其深藏左上腹,紧邻胃、胰腺、脾脏及横结肠系膜等要害器官与血管;术前影像与术中探查均证实肿瘤与胃底、胰腺、横结肠系膜形成广泛致密粘连,分离如履薄冰。加之患者74岁高龄,器官功能储备下降,对手术创伤、麻醉及失血的耐受能力显著降低,围手术期并发症风险剧增。

术中切除的巨大肿物
面对巨大风险,为明确诊断、解除压迫,手术势在必行。邵学谦主任团队周密预案,决定行开腹探查术。术中见巨大肿瘤与胃底部关系密切,并与胃、胰腺、横结肠系膜致密粘连,血供极其丰富。邵学谦主任凭借精湛技术与沉着指挥,精细操作,如同拆除“炸弹”,小心翼翼剥离粘连,稳妥处理滋养血管,最终成功完整切除肿瘤,并行受累胃组织部分切除(胃部分切除术)及粘连松解。

患者术后病理结果
术后病理诊断为(胃底巨大肿瘤)胃肠间质瘤(GIST),体积达15.3×12×6cm。这一“金标准”完美验证了邵学谦主任术前“胃源性”的精准判断。明确的高危分级也凸显了手术的及时与关键——R0(完全)切除是此类高危GIST患者获得治愈可能的核心一步。

合影留念
在医护团队精心治疗与护理下,患者平稳度过高危术后风险期,康复良好。为表达对邵学谦主任、于占江主任医师及全体医护人员的深切感激,康复出院后,热爱书法的患者亲笔题写“大德永铭”赠予普外三科。这四个苍劲大字,是对医者仁心仁术与勇担风险守护生命的最佳礼赞,饱含患者铭记恩情、永颂大德的肺腑之言。
延伸阅读
沉默的“炸弹”——胃肠间质瘤(GIST)
GIST是消化道最常见的间叶组织肿瘤,起源于胃肠道壁卡哈尔间质细胞,多见于胃(约60%)和小肠(约30%)。其特点包括:
1、隐匿性强: 早期常无症状,易被忽视(如本例体检发现),增大后可致腹痛、包块、出血等。
2、具恶性潜能: 所有GIST均有恶性倾向,依据大小、部位、核分裂像等分为不同危险度,高危者复发转移风险显著升高。
3、破裂风险高: 肿瘤破裂是独立不良预后因素,易致腹腔种植转移,对手术完整性要求极高。
4、诊治要点: 影像学(CT、MRI)为初筛,确诊依赖病理及免疫组化;完整手术切除(R0)是局限期GIST根治关键,须确保切缘阴性并避免破裂;高危患者术后需靶向药物辅助治疗以降低复发风险。
本例高龄高危巨大GIST的成功救治,是精准医学理念与顶尖外科技术交融的典范。从术前精准溯源为手术点亮明灯,到术中勇闯禁区实现R0切除,再到病理确诊高危状态为靶向治疗奠基,每一步都彰显了团队面对复杂高危病例时的深厚功底、冷静决断与使命担当。“大德永铭”的墨香,不仅颂扬生命奇迹,更深刻诠释医患同心、共克顽疾的真挚情谊。此案例再次提醒公众:重视定期体检,对GIST这类潜在“沉默杀手”,早发现、早诊断、早治疗至关重要。
科室简介
普外三科(肿瘤外科)
齐齐哈尔医学院附属第三医院普外三科(肿瘤外科)是齐齐哈尔医学院重点专科,拥有一支技术过硬的医护团队,其中主任医师3人,副主任医师1人,主治医师3人,住院医师3人,从事普外科及相关恶性肿瘤疾病的诊断、外科治疗、临床科研及教学工作。普外三科将秉承“微创化、微瘢痕化、更快康复”理念为广大患者竭诚服务,让更多的患者受益。注:普外三科病房现已搬迁至住院综合楼19楼。
普外三科腹腔镜技术开展的特色项目及常见服务范围有:
1、肝胆胰脾疾病:胆囊结石、胆囊息肉、急性胆囊炎、慢性胆囊炎;肝囊肿、肝脓肿、肝脏肿瘤;脾脏及胰疾病需要外科手术者。
2、胃肠疾病:急性、慢性阑尾炎;胃十二指肠溃疡、胃肿瘤、结肠癌、直肠癌;肠粘连、肠梗阻;急性消化道穿孔;不明原因的慢性腹痛。
3、疝疾病:腹股沟斜疝、腹股沟直疝、切口疝、各类复发疝等。
科室电话:0452-2120742;2120193
(撰稿:普外三科 庞锐 编辑:宣传科 李宽 审核:普外三科 邵学谦 宣传科 车琳 商常青)







黑公网安备 23020302000012号