近日,我院普外三科(肿瘤外科)团队在科主任邵学谦的带领下,凭借扎实的专业功底、高效的团队协作以及对生命的极致负责,成功为一名消化道穿孔伴急性弥漫性腹膜炎并发感染性休克的重症患者实施紧急手术。术后患者顺利康复出院,这一案例不仅展现了科室在危急重症救治领域的顶尖技术实力,更彰显了医疗团队“以患者为中心”的责任担当与使命精神。
患者命悬一线,当地医院拒收后紧急转院
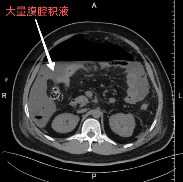
患者因持续性腹部疼痛3天就诊于内蒙古扎兰屯某医院,但因病情复杂、风险极高被建议转诊至具备更高救治能力的医疗机构。家属辗转联系到我院普外三科(肿瘤外科)主任邵学谦,尽管此时正值非急诊班时段,普外三科(肿瘤外科)医护团队仍以高度的责任感迅速响应,第一时间启动危重症抢救流程。该患者全腹CT检查显示:消化道穿孔伴广泛腹腔积液,实验室指标提示贫血、低白蛋白血症、低血容量及全身炎症反应。入院时,患者已出现全腹压痛、反跳痛等急性腹膜炎体征并伴有感染性休克,病情凶险,穿孔部位待排,情况十分危急,需争分夺秒实施手术干预。

患者术前腹部CT
下班后火速返岗,团队彻夜守护生命
面对危急情况,普外三科(肿瘤外科)主任邵学谦虽已结束当日工作,但接到电话后立即从家中驱车赶回医院。其他医护亦迅速组织力量原地待命,确保患者抵达后能第一时间进入手术室。邵学谦表示:“患者的生命不容等待,无论何时、无论何地,我们都会全力以赴。”
在完善术前检查后,立即决定对患者行急诊手术治疗,术中探查发现,患者腹腔内积聚约4000ml混浊粪水样液体,小肠中段存在直径约1.5cm穿孔及近50cm左右小肠呈炎性改变,肠内容物严重污染腹腔,导致肠管广泛扩张、黏连成团,系膜间血管交错缠绕,手术难度极大。团队需在短时间内完成以下关键操作:1. 彻底清除腹腔污染源:及时引出腹腔内大量积液,精准分离粘连肠管,避免术中二次损伤;2. 手术术式选择:采用“小肠部分切除术+端侧吻合术”重建肠道连续性;3. 腹腔粘连松解术:解除肠梗阻风险,降低术后复发概率;4. 抗休克综合管理:术中同步纠正低血压、电解质紊乱及凝血功能障碍。
邵学谦凭借近30年手术经验,果断决策并精准执行手术。团队成员分工明确,麻醉科等科室全程配合,手术至次日凌晨,历时4小时成功完成救治。术后患者恢复顺利,现已康复出院。
责任铸就信任,专业赢得口碑
此次成功救治案例,不仅展现了普外三科(肿瘤外科)医护团队的专业能力,更体现了作为医疗工作者的救治初心。无论是非急诊班的紧急接收、主任下班后的火速返岗,还是医护人员的彻夜待命,每一个细节都彰显了医疗团队对生命的敬畏与坚守。未来,科室将继续以技术创新为驱动,以团队协作为支撑,为更多患者提供安全、高效、精准的医疗服务。正如普外三科(肿瘤外科)主任邵学谦所言:每一次紧急手术都是对生命的庄严承诺,我们始终在专业与责任的坐标轴上践行医者初心。

患者康复出院与邵学谦主任(左)、管床医生于占江副主任(右)合影
科室介绍
齐齐哈尔医学院附属第三医院普外三科(肿瘤外科)是齐齐哈尔医学院重点专科,拥有一支技术过硬的医护团队,其中主任医师3人,副主任医师1人,主治医师3人,住院医师3人,从事普外科及相关恶性肿瘤疾病的诊断、外科治疗、临床科研及教学工作。普外三科将秉承“微创化、微瘢痕化、更快康复”理念为广大患者竭诚服务,让更多的患者受益!

普外三科(肿瘤外科)腹腔镜技术开展的特色项目及常见服务范围有:肝胆胰脾疾病:胆囊结石、胆囊息肉、急性胆囊炎、慢性胆囊炎;肝囊肿、肝脓肿、肝脏肿瘤;脾脏及胰疾病需要外科手术者。胃肠疾病:急性、慢性阑尾炎;胃十二指肠溃疡、胃肿瘤、结肠癌、直肠癌;肠粘连、肠梗阻;急性消化道穿孔;不明原因的慢性腹痛。疝疾病:腹股沟斜疝、腹股沟直疝、切口疝、各类复发疝等。
专家介绍

邵学谦
普外三科(肿瘤外科)主任、主任医师、教授、硕士研究生导师
黑龙江省医学会腔镜外科分会委员
黑龙江省医学会甲状腺微创美容外科分会委员
黑龙江省医师协会肝胆委员会委员
黑龙江省结直肠专科联盟委员
齐齐哈尔医学会腹腔镜专业委员会副主任委员
齐齐哈尔医学会肝胆外科专业委员会委员
黑龙江医学会胃癌专业委员会委员
黑龙江省医师协会肿瘤外科专业委员会委员
科室电话:2120742、2120193
(撰稿:普外三科 庞锐 编辑:宣传科 林然 审核:普外三科 邵学谦 宣传科 车琳 商常青)







黑公网安备 23020302000012号