消灭肿瘤能不能不开刀?癌症患者综合治疗效果不好还有得治吗?高龄癌症患者不能耐受手术怎么办?随着医疗技术的发展,这一切有了新的希望...近日,我院介入科实施了首例肝癌冷冻消融术。
7月25日,67岁的患者周先生因头晕来到我院神经内科就诊检查,上腹部增强CT提示肝S4段占位性病变,大小为2.0*1.6cm。结合周先生既往有慢性肝炎及肝硬化病史,考虑为肝恶性肿瘤。患者及家属商议后,拒绝外科手术治疗。会诊时,我院介入科负责人莫庆国建议行TACE联合消融治疗。7月29日,我院介入科给予周先生TACE治疗。术后1月余,周先生再次来院复查,提示肝内病灶稳定,碘油沉积良好,欲给予肝内病灶消融治疗,但热消融风险较高,考虑到患者病灶靠近边缘,患者年龄等因素,莫庆国主任提出使用恢复更快、痛苦更小的肝癌冷冻消融术。
什么是冷冻消融术?冷冻消融术是借助医学影像技术的引导,将冷冻消融针准确地放置在病灶中心,通过氩气和氦气进行组织冻结和复温,针对特定的区域,把肿瘤变成一个冰球来破坏病变细胞,诱导肿瘤细胞损伤。

冷冻消融治疗机理
冷冻消融术是近年来发展较为迅速的一种治疗肿瘤的高新技术,最早用于前列腺癌手术,目前只要能穿刺的肿瘤都可以运用这项技术,像肺癌、甲状腺癌、乳腺癌、肝癌等都可以应用。随着治疗方式和手段的进步,我们无需谈癌色变,很多癌症都有适合的治疗方案,冷冻消融术只是其一,针对肝恶性肿瘤本院还有肝动脉化疗栓塞(TACE)治疗、肝动脉持续灌注化疗、微波消融、射频消融及靶向免疫联合治疗等,都可以系统科学地治疗患者,挽救和延长各类患者生命。
冷热交融,摧毁肿瘤
手术在CT室进行,莫庆国主任将一根冷冻消融针通过CT引导逐步进入病灶后,开展CT引导下经皮下氩氦刀肝癌冷冻消融术。



氩气和氦气都是两种惰性气体,经节流后产生两种不同的效果,氩气快速降温到零下160℃,维持超低温冷冻15分钟,再用氦气快速升温到10℃,维持5分钟,重复两个冷热循环治疗后,实现病灶冷冻消融全覆盖。

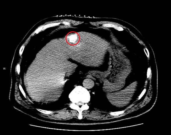
术前病灶

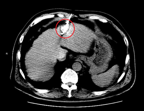
穿刺

冰球完全覆盖
冷冻消融术治疗有何优势?
1、创伤较小冷冻消融术是一种微创治疗方式,不像传统外科治疗那样需要划开很大的伤口,而是通过一个小小的针眼,就能够将探头引入体内,对病灶进行冷冻治疗,使肿瘤细胞死亡。
2、准确性高冷冻消融术可以通过医疗影像技术进行精确定位和诊断,能够非常精准地定位和破坏肿瘤组织,而且可以最大程度地保护周围的正常组织不受损害,早中晚期的肿瘤患者均可适用。
3、安全性高冷冻消融术治疗是无创或微创的,治疗时可以减少手术风险和并发症。同时,冷冻消融术的治疗过程不需要用到放射线,不会对身体造成辐射伤害。
4、疗效明显冷冻消融术冷热温差大,交替循环,杀伤肿瘤,可以防止种植性转移,且治疗肿瘤可以高度定制化,根据患者的病情特点,制定个性化的治疗方案,也为那些身体承受不了大手术、年长的病人带来了福音。
齐医附属三院介入科
我院介入科成立于1986年,是黑龙江省发展最早的介入专科之一。随着全国介入水平的不断提高,我院介入科也有十分显著的发展,治疗方法全面、多样,疾病处理办法、治疗理念领先国内大医院水平。
开展手术及治疗范围:肝癌、肺癌、肾癌、胃肠道肿瘤等各种恶性肿瘤的血管内介入治疗及肿瘤的射频消融、微波消融、冷冻消融、碘125粒子植入治疗;肝、肾等实质脏器囊肿、脓肿微创介入穿刺引流;胆道系统炎症、急性胆囊炎、胆管炎、肿瘤、梗阻性黄疸、胆道、胆囊微创介入外引流,胆道、食道支架术;输卵管阻塞所至不孕症;股骨头无菌性坏死;咯血、消化道大出血、急诊止血、肝硬化门静脉高压TIPS手术;胃造瘘、肠梗阻导管植入;各占位性病变穿刺活检、穿刺定位,四肢血管狭窄成形术;神经介入包括:脑血管造影,急性脑梗死介入取栓术,脑动脉瘤介入栓塞,颈动脉、椎动脉、锁骨下动脉支架植入术;脑动脉瘤介入栓塞、脑血管畸形治疗等项手术。从手术难度及预后方面市内领先,危重患抢救成功率高。


莫庆国 介入放射科负责人、副主任医师
学术地位:齐齐哈尔市介入诊疗专科联盟首席专家;齐齐哈尔医学会肿瘤介入治疗专业委员会委员;中国中医药信息学会中西医结合介入分会理事;中国医药教育协会介入微创治疗专业委员会青委会委员;黑龙江省医学会介入诊疗专业委员会委员;黑龙江省中西医结合学会脑卒中分会脑血管疾病介入专业组委员;黑龙江省医师协会神经介入专业委员会委员;黑龙江省脑血管病学会介入专业委员会委员;黑龙江省医师协会卒中分会委员;齐齐哈尔市卒中学会委员;齐齐哈尔医学会神经介入专业委员会委员
专业特长:擅长介入科常见病,多发病的诊断及治疗,尤其在肝癌的综合介入治疗方面有丰富的经验,进行了较深入的研究。目前已开展肺癌、肝癌、肾癌、前列腺癌、膀胱癌、子宫肌瘤等良恶性肿瘤介入治疗,动、静脉溶栓术,血管支架植入术,下腔静脉滤器置入术,食道支架置入术,经皮胃造瘘术,肠梗阻导管植入术,胆道支架置入术,胆道穿刺引流术,胆囊穿刺引流术,肝、肾囊肿穿刺引流硬化术,输卵管再通术,脑血管造影术,脑动脉瘤栓塞术,颈动脉支架置入术,急性缺血性脑卒中机械取栓术,经皮穿刺125I粒子植入术,肿瘤射频消融术等多种介入手术。
齐医附属三院介入科咨询电话:0452-2120937;0452-2120627
(撰稿:介入科 李闯 编辑:宣传科 李宽 审核:莫庆国 宣传科 车琳 商常青)







黑公网安备 23020302000012号