花季女孩不可承受的足部之痛- Lisfranc损伤
近日,我院骨外四科李烁博士医疗组与手术室、麻醉科密切配合,成功为一名诊断为“左足跖跗关节骨折、脱位”(Lisfranc损伤)的复杂创伤患者实施了多发跖骨、跗骨骨折、跖跗关节脱位切开复位、内固定术。术后患者恢复良好,目前处于日渐良好的康复阶段。
今年20岁的夏小姐家住内蒙古自治区莫力达瓦旗,骑电动车被出租车撞倒后感左足肿痛,活动受限,于当地医院急诊就诊,行X线检查后诊断为:左足多发跖骨及跗骨骨折。夏小姐为求进一步诊治,于次日慕名寻医李烁团队,李烁医生在了解夏小姐病情后,当即为夏小姐办理住院。
入院后,针对夏小姐多发且复杂的病情,骨外科四病区副主任、医疗组组长李烁立即组织针对夏小姐的再次详细查体及进一步检查,判断该病例的实际伤情要远重于X线片上所呈现出的骨折,患足合并有关节脱位及严重的不稳。通过体格检查及进一步影像学检查明确诊断为典型的Lisfranc损伤。
Lisfranc关节损伤即跖跗关节骨折脱位,常与交通事故等高能量损伤相关,多数需手术诊疗,以期最大程度恢复患足足弓的稳定性及足部功能,减少创伤性关节炎的发生几率及症状。并且,这种损伤常伴有严重的软组织损伤,给治疗和预后带来不良影响,少数情况可引起骨筋膜间室综合征,甚至前足坏死。所以,对于该种损伤的准确判断及妥善诊疗尤为重要。
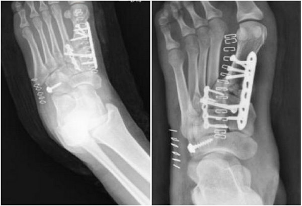
Lisfranc损伤的内固定植入物有多种选择,该病例同时存在骨折及脱位且关节面碎裂程度较重,重建难度大。李烁团队对该病例进行了充分的术前讨论并制定手术方案:给予左足第一跖骨及跖楔关节、第二跖骨及跖楔关节锁定钢板固定;同时给予Lisfranc螺钉固定以维持内侧楔骨和第二跖骨的稳定性;骰骨给予螺钉固定。经过周密的术前准备,李烁团队与手术室、麻醉科通力合作,顺利的为患者实施了手术。术后查体及影像学检查显示:患者骨折复位及固定效果良好。

术前影像

术后影像
目前在骨外四科医护人员的精心照护下,夏小姐恢复良好,拟于近日出院。“当时我女儿被车撞伤后,我们一家人心急如焚,我们知道伤情的严重,从当地转运到李烁医生这里就医,现在我看着女儿一天一天的康复,悬着的心放下了,真的非常感谢住院期间医护人员无微不至的关怀与照顾”夏小姐的母亲激动的说。精湛的医术救死扶伤,暖心的服务深入人心。细致入微、稳中求胜,我院骨外科四病区将继续追求卓越、精益求精,做患者最坚实的后盾。 (供稿:骨外科四病区 史秋实 责编:宣传科 吕唱 一审:李烁 二审:高秀文 三审:刘波)
【专家简介】

李烁 副主任医师 医学博士 硕士研究生导师
擅长单边双通道脊柱内镜技术治疗腰椎退行性疾病,关节镜技术治疗膝关节半月板、韧带损伤及髋、膝关节炎的保守与手术治疗。
齐齐哈尔市事业单位突出贡献专业技术人员;任黑龙江省医促会骨科青委会副主任委员、黑龙江省老年医学研究会关节外科专业委员会委员、黑龙江省康复医学会关节镜与关节修复专业委员会委员;近年以第一作者发表SCI论文1篇,核心期刊论文1篇,国家级期刊论文近10篇;主持黑龙江省自然科学基金项目1项;主持完成齐齐哈尔市科学技术指导性计划项目1项;主持项目获黑龙江省卫健委医疗卫生新技术一等奖1项、三等奖1项。







黑公网安备 23020302000012号