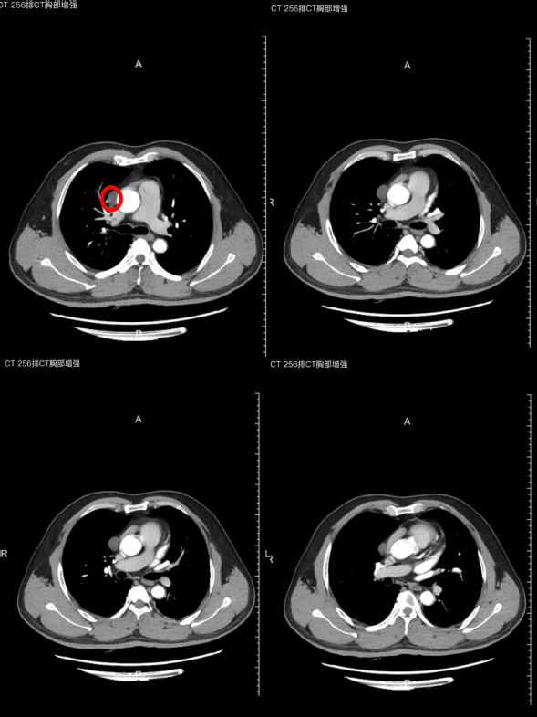
近日,44岁兰先生(化名)因胸痛完善胸部CT后,在中纵隔心包旁发现一个直径3.0厘米左右的肿物。因肿物与心脏大血管及肺静脉关系密切,风险较大,患者想要在更安全、更少的痛苦的条件下完成手术切除肿物,得知我院胸心外二科开展了无管化胸腔镜纵隔肿物切除术后慕名而来。
我院胸心外二科主任任海与患者及家属沟通病情及诉求后,给予患者办理入院手续。患者入院后仅1日,就完善了所有的术前检查。术前,任海主任根据患者胸部增强CT制定详细的手术计划,并与麻醉科进行了充分的讨论及制定了详细的术前准备。术中,麻醉师马琳主治医师根据患者情况给予患者喉罩全身麻醉,手术过程中发现纵隔肿物与上腔静脉粘连紧密,而患者采用单孔胸腔镜手术术中黏连大大增加了手术难度,一旦损伤大血管将会有致命的风险,经过任海主任的仔细小心的剥离肿物及上静脉的粘连,保护心包及上腔静脉,顺利完整的将纵隔肿物切除,术中出血不到5毫升。而手术切口仅仅不到4厘米。患者术前无需放置导尿管,术后无需要留置胸腔引流管。手术结束后兰先生恢复自主呼吸,不久苏醒,给予拔出喉罩,可以坐起与医生对话,安全返回病房。术后3天无明显不适,出院回家,手术切口无需拆线。



任海主任说:“为实现快速康复(ERAS)的理念,让患者手术最大可能的减轻痛苦,术前我们主动与麻醉科张宏伟主任带领的麻醉团队沟通,为纵隔肿瘤患者实施Tubeless胸腔镜下纵隔肿瘤切除术!这需要麻醉师严格掌控患者的呼吸情况,需要我们胸外科更快的完整的将肿瘤切除,患者能在手术中最大化获益!”
在任海主任带领下,我院胸外二科与麻醉科马琳主治医师及手术室团队默契配合下,再次成功为一位纵隔肿瘤患者开展实施了无气管插管、无插管胸腔镜手术(Tubeless VATS)。患者术前不插尿管,术中无气管插管,术毕无留置胸腔引流管,清醒后自由下床活动,目前恢复良好。
无管化胸腔镜下微创胸科手术较传统胸科手术减少气管插管对患者的气道刺激,不会出现术后咽痛及声音嘶哑,咳嗽、咳痰功能也很好。不留置尿管减少对患者尿道的刺激产生的不适感,不留置胸腔引流管减少术后对胸腔的刺激,减少呼吸引起的胸部疼痛,无需拔管及观察引流管口的恢复情况,更能加快患者的恢复及出院速度,进一步可实现日间胸科手术。实现快速康复(ERAS)的理念。
无管(Tubeless)胸外科手术是什么?
一、传统插管手术的缺陷:
1、气管插管损伤气道内壁纤毛
2、全麻机械通气损伤肺泡
3、术中插尿管,术后尿道痛
4、术后留置胸管,术后剧痛
二、我们团队首创的胸外科无管tubeless手术的内涵及优势:
1、术中不插气管插管,以喉罩替代,保护气道
2、术中保留自主呼吸,不用机械通气,保护肺功能
3、术中不插尿管,保护尿道
4、术后不留胸管,创伤疼痛最小化
三、什么条件可以接受tubeless手术:
1、BMI<25原则上都可以不用气管插管,并且保留自主呼吸,排除困难手术等情况
2、楔形切除一般都可以术后不留胸管,排除困难手术情况。清扫淋巴结后原则上都需要留置胸管
3、手术两个小时内原则都可以不留置尿管,排除特殊情况







黑公网安备 23020302000012号