近日,齐医附属二院医学影像中心引进了目前最先进的32通道头部专用线圈,并成功开展了高分辨磁共振血管壁成像(HR-VWI)新技术,帮助来院就诊的患者明确了疾病产生的病因,为临床诊断和指导治疗提供重要信息和依据。

高分辨磁共振血管壁成像(HR-VWI)
脑卒中已成为我国成年人致残、致死的首要危险因素,且逐渐呈年轻化趋势,其中动脉粥样硬化是导致脑卒中的主要危险因素。越来越多的证据表明,动脉狭窄程度不是中风唯一的预测因子,研究认为动脉斑块的构成和性质是预测未来中风的重要标志。高分辨磁共振血管壁成像(HR-VWI)被认为是目前唯一可对颅内血管壁成像的无创检查技术,具有无创、无辐射、高空间分辨率、高信噪比等优势。它除了能够判断管腔的狭窄程度以外,还能分析斑块的成分和特征、是否为易损斑块,提供精准的临床数据。高分辨磁共振血管壁成像(HR-VWI)解决了传统的CTA、DSA都是以评估血管狭窄为主,不能显示血管壁的难题,高分辨磁共振血管壁成像(HR-VWI)能清楚显示血管壁、血管腔及其斑块,对动脉血管总面积、管腔面积、管壁厚度、管腔狭窄程度做出精准测量,定量分析斑块成分,包括富脂质坏死核、钙化、出血、疏松基质、纤维帽,从而进行精准的斑块易损性评估,更好地鉴别血管病因,评估形成粥样硬化斑块,帮助临床更有针对性的诊疗。 除分析斑块,高分辨磁共振血管壁成像(HR-VWI)还能对动脉夹层、血管炎、动脉瘤等疾病进行鉴别诊断。

患者右侧大脑中动脉闭塞,左侧大脑中动脉M1段狭窄

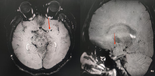
高分辨磁共振血管壁成像(HR-VWI)显示血管壁明显强化斑块
高分辨磁共振血管壁成像(HR-VWI)的顺利开展,使医院磁共振诊疗水平进一步提高,处于市内领先地位,未来将于临床科室协同合作,为全市脑血管疾病患者提供更全面的影像学检查,为临床脑血管疾病诊断提供有力的依据,更好地为患者提供精准治疗。







黑公网安备 23020302000012号