近日,齐医附属二院骨外科三病区成功完成一例复杂人工全膝关节置换术,帮助患者解决了膝关节疾患,目前患者恢复良好,已康复出院。
50岁的梁大哥,患有痛风已有20多年,股骨干骨折术后20年,近5年又出现了左膝关节创伤性关节炎、左膝关节痛风性关节炎、左膝关节退行性改变等症状,膝关节的疾病严重影响了梁大哥的正常生活,就诊于多家医院,都因手术难度极大而建议其转院治疗。患者家属听闻齐医附属二院骨外科关节置换实力雄厚,已为相当多位患者完成复杂髋,膝关节置换手术,特慕名前来骨外科三病区就诊疗。
入院后,朱剑峰主任及刘艳楠副主任为患者仔细查体并设计手术方案,经过沟通患者及家属同意行人工全膝关节置换术。
术中朱剑峰主任与刘艳楠副主任为患者准确把控截骨角度,最大限度避免骨缺损以及痛风石结晶对手术造成的影响,纠正患者下肢力线,并在科室医生霍春光和王赫的配合下,顺利为患者完成手术。术后患者膝关节活动度和肌力均恢复良好,2天后便在医护人员帮助下,借助手扶助行器进行行走。现在患者已康复出院,正逐步回到工作岗位中。
用汗水浇灌收获,以实干砥砺前行,骨外科三病区医疗团队将继续在朱剑峰主任的带领下,用锐意创新的勇气,敢为人先的锐气,蓬勃向上的朝气,提高科室的业务水平,攻克新的技术难关,各奋愚公之愿,即可移山。共怀精卫之心,不难填海。骨外三科全体医护人员将在2023年共同努力,为鹤城人民的提供更优质的医疗服务。

骨外科三病区朱剑峰主任、刘艳楠副主任等为患者行人工全膝关节置换术

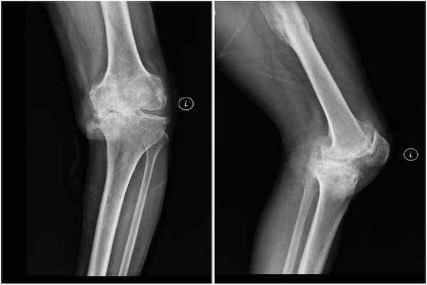
术前影像

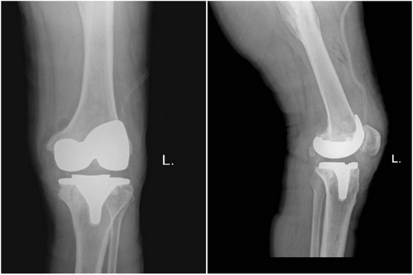
术后影像
【科普知识】
膝关节是下肢重要的负重关节,其结构和功能是人体关节中最复杂者。膝关节退行性骨关节病是老年人的常见疾病,据报道50岁以上存在症状的膝关节骨关节病男性发病率35%,女性高达74%。严重膝关节骨关节病需要进行人工膝关节置换术的患者越来越多。膝关节置换术可解除膝关节疼痛,改善膝关节功能,纠正膝关节畸形和获得长期稳定。膝关节置换术是一种用人造部件来替换患者部分膝关节的手术。膝关节置换术能有效减轻膝部疼痛和改善膝关节工作方式,目前已经成为了常用的骨科手术。人工膝关节关节置换术是指用生物相容性与机械性能良好的金属材料制成的一种类似人体骨关节的假体,通过手术方法用人工关节置换被疾病或损伤所破坏的关节面,其目的是切除病灶、清除疼痛、恢复关节的活动与原有的功能。因此,膝关节置换术并非很多人误以为的把整个膝盖都换掉,而是仅仅替换掉被疾病或损伤所破坏的关节面。
【专家简介】

朱剑峰: 骨外科三病区主任 主任医师
1993年7月毕业于齐齐哈尔医学院临床医学专业,学士学位,现任骨外科三病区主任,主任医师。兼任中国医师协会显微外科医师分会委员、黑龙江省医学会骨修复专业委员会委员、黑龙江省医学会骨科学分会创伤学组委员、黑龙江省关节疾病专科联盟成员、黑龙江省小儿矫形外科专科联盟成员、中国研究型医院学会冲击波医学专业委员会委员、黑龙江省冲击波学会医学教育与培训专业委员会委员。2002年7月-2003年7月赴上海第二军医大学长海医院进修学习。先后在国家级、省级杂志上发表学术论文近20篇。
对于骨外科(脊柱和四肢)的常见病和多发病的伤病,尤其在四肢骨、关节的疾病的诊断和治疗具有丰富的临床经验,擅长四肢骨折的钢板内固定或带锁髓内钉内固定及各种外固定架固定术,各种骨关节损伤的修复术及韧带重建术,四肢骨关节或神经损伤后的畸形矫正或功能重建术等大部分创伤骨科手术。尤其擅长对股骨头无菌性坏死、骨性关节炎的诊断和治疗,以及全髋髋关节、全膝关节置换等手术技术,同时在四肢创伤后皮肤缺损的各种皮瓣移植手术,断腕、断掌及断指(肢)再植手术,各种皮瓣移植等方面颇有专长。

刘艳楠:骨外科三病区副主任 骨科专业基地教学主任 副主任医师 副教授
2008年7月毕业于牡丹江医学院临床医学专业,副主任医师,副教授。现任骨外科三病区副主任、骨科专业基地教学主任,兼任黑龙江省中西医结合骨科专业委员会常委、黑龙江省医学会显微外科分会青年学组委员。
毕业后一直从事骨外科工作10多年,对于骨外科的常见病和多发病的诊断和治疗方面具有丰富的临床经验,擅长脊柱内镜微创治疗腰间盘突出腰椎管狭窄,关节镜微创治疗及慢性难愈性创面的治疗,。主持完成齐齐哈尔医学院教学科研一项,主持完成齐齐哈尔市科研一项。发表SCI一篇,国家发明专利1项,医学论著一部,先后在国家级、省级杂志上发表学术论文多篇。







黑公网安备 23020302000012号