近日,我院神经外二科利用经皮穿刺技术再次成功治愈一例高龄三叉神经痛患者,利用此项术式已累及治愈三叉神经痛患者近60余例。
患者单某某,女,90岁,饱受三叉神经痛折磨长达20年时间,老人家曾行伽马刀治疗效果不佳,长期口服卡马西平片现已无法耐受药物带来的副作用,且药效逐渐减退,令其痛不欲生。因疼痛难忍由神经内科转入我科。患病期间曾于我市各大医院多次求医未找到令其满意的治疗方案,因难以接受开颅微血管减压手术,故迟迟得不到治愈,经多方打听获知我院神经我外二科吴卫东主任团队掌握一种不开刀且能成功治愈三叉神经痛的技术,抱着试试看的打算,于是来到我院要求进行手术治疗。
该患者系右侧三叉神经上颌支及下颌支感觉分布区面部皮肤及右侧下牙床发作性剧痛,突发突止,每次持续数秒至1-2分钟不等,频繁发作,刷牙、洗脸及咀嚼食物均可诱发疼痛发作,严重影响老人家的正常生活,导致老人家痛不欲生。
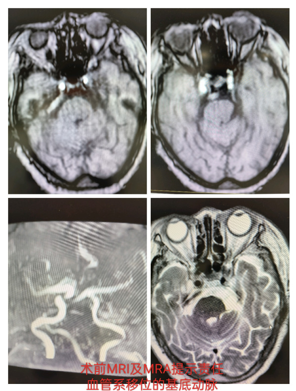
王云龙副主任医师根据患者的病情及身体状况为该患者制定了个体化的治疗方案,因患者年龄较高,经严格的药物治疗效果不佳,恐惧开颅手术对微血管减压术依从性较差,术前三叉神经MRI检查提示患者又是一例粗大的椎基底动脉移位压迫右侧三叉神经根,患者长期高血压脑动脉硬化,经颅行微血管减压将血管推离三叉神经根且悬吊难度大,老人家不愿意行选择性三叉神经感觉根切断术,综合以上因素为老人家制定经皮穿刺三叉神经半月结微球囊压迫术的手术方案。该术式属于神经外科介入手术,在C型臂或脑血管造影机或神经外科手术机器人的定位下进行,手术时间短,且具有微创、无血、恢复快的优点,面部仅仅一个针孔,术后无任何痕迹,且费用低,老人家欣然接受,患者基础疾病较多,经心内科、神经内科及麻醉科多学科会诊并调整到最佳状态后如期行手术治疗,经手术室麻醉科通力协作,手术过程顺利,用时25分钟,术后疗效立竿见影,疼痛完全消失,折磨患者20余年的三叉神经痛终于获得成功治愈,老人家特别开心笑的跟孩子一样,患者于术后第二日即康复出院。

术前三叉神经MRI提示基底动脉移位压迫左侧三叉神经根部

颅底三维CT重建提示卵圆孔形态大小正常

术中C型臂照相提示球囊呈梨形位于麦氏囊内,压迫2.5分钟,手术结束,总用时15分钟。

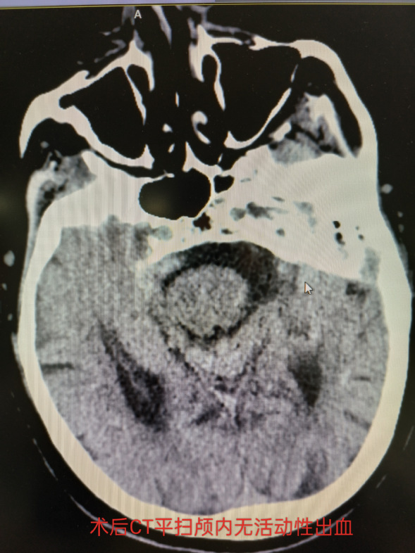
术前术后头部CT平扫

患者术后疼痛消失,成功治愈。







黑公网安备 23020302000012号