日前,我院引进全球首款、黑龙江省首台业内旗舰级人工智能CT——Revolution APEX CT,是目前业界最高端的CT。为便于广大人民群众更好地了解APEX CT的优势、功能及适应症等,更好地为鹤城百姓带来精准、舒适、快捷、安全的医学影像服务新体验,我院将推出《深度解密——全省首台国际顶级人工智能APEX CT》系列报道,敬请关注。

今日推出系列报道之一:
极快检查速度 全力守护心脑血管健康
近日,黑龙江首台、GE全球首款通过FDA认证的人工智能CT系统APEX CT落户我院,鹤城人民从此不出国门即可享受国际先进的影像检测服务。此次我院引进GE医疗全球首款人工智能APEX CT,是一款256排512层能谱CT,较我院原256层CT扫描速度提高了一倍,探测器由原来的8cm宽提高到了16cm宽。作为世界首款人工智能CT,该高科技硬核设备汇聚了全球革新性高科技,创新性突破以往十年CT影像重建算法的桎梏,具有极“清”全身血管、极“早”肿瘤筛查、极“低”剂量真理图像的特点和优势。

APEX CT在临床应用中聚焦目前对人类健康威胁最大的心脑血管疾病和肿瘤疾病,可以做到冠脉、全身血管的超早期肿瘤一站式扫描,且每一次扫描都能获得以往CT设备无法比拟的高清图像质量,最大程度的保留了图像的真实纹理、解剖结构和病理细节,实现了低剂量、低噪声和真实图像纹理的三位一体。
在世界卫生组织公布的全球十大致死病因中,心血管疾病常年处于首位。APEX CT可以开展头颈心联合扫描,对排查早期斑块,提前预防斑块脱落造成的脑部血管阻塞具有重要意义。心脏每分每秒都在运动,如何能够在快速的运动中,得到稳定且清晰的图像?心脏CT扫描一直是难点,常规的心脏CT检查需要一套复杂的流程,患者常常需要先服用控制心率的药物,还需要进行屏气训练,儿童患者还需要进行镇静……而对于高心率、心律失常、无法屏气和需要介绍全身血管扫描成像的患者,CT扫描更是难上加难。
APEX CT在心脏检查方面,完全革新了以往的复杂检查流程:不需要控制心率,不受心律变化影响,甚至不需要控制呼吸。患者完全在自然状态下接受检查,只需在一个心跳内就完成了整个心脏 CT扫描,这对疑难冠脉病变、血管变异、先天性心脏病等疾病的治疗,都有着重要的意义。

不到1s内完成0.6mm的胸部检查

全心肌灌注成像

无镇静剂下儿童CTA扫描图像

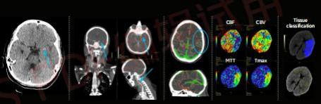
急性脑梗塞患者,全脑灌注扫描仅需5分钟
不仅如此,APEX CT对微小病灶的检出能力也显现出无与伦比的优势。传统 CT 扫描心脏冠脉,只能看到一级二级的血管,而 APEX CT可以看到三级、四级,甚至更小的分支;传统CT对直径1毫米以下的血管很难拍出清晰图像,而 APEX CT却可以做到,这意味着能看到更多的微小病灶。
此台国际先进设备的引进,为我院精准医疗再添利器,标志着我院医疗设备向国际、国内尖端精良化迈进,开启了我院CT影像临床应用和科研的全新时代,推动着我院医学影像技术和服务水平全面提档升级、与国际先进水平接轨,助推诊断服务向着学科化、体系化、智能化、个性化的方向发展,为鹤城百姓带来精准、舒适、快捷、安全的医学影像服务新体验。







黑公网安备 23020302000012号