近日,我院介入科成功为一位继发肝癌患者实施介入栓塞治疗,术后随访,患者及家属反馈良好。该技术的成功应用为肿瘤患者打开了微创治疗肿瘤的新通路,也为众多饱受疾病煎熬的肿瘤患者带来新的曙光。
介入栓塞治疗是一种既不开刀又能治疗癌症的微创治疗方式,该治疗方式具有创伤小、副反应轻的优点,可有效提高患者生存质量,延长患者生命。目前我院介入科已成熟开展肝癌、肾癌、肺癌及肝肾良性肿瘤等介入治疗,预后良好,得到广大患者朋友及家属的肯定。
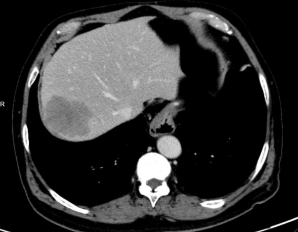
赵某,男,69岁,2年前行结肠癌根治术,病理回报:(乙状结肠)溃疡型中分化腺癌(体积:3*3*2cm),浸至外膜,上、下切缘、环周切缘未见癌,肠周淋巴结可见转移癌(5/8)。后续静脉化疗6疗程,病情控制稳定。近日,行上腹增强CT检查提示:肝继发恶性肿瘤。这一消息犹如晴天霹雳,“刚刚治好这个肿瘤,怎么又有肿瘤了?”老赵经过多方打听与了解来到我院介入科寻求治病良方。

初发病灶CT
赵某来到介入科后,介入科主任刘琳、副主任莫庆国给予完善充分的检查与评估,并细心与患者交代:“放心吧,我们在你的血管里放根管子,用点药就能解决你的苦恼。”于是,患者如期进行了介入治疗,手术过程顺利,术后患者无不良反应,恢复快。

手术中

术中造影
出院前老赵感动的对医生说道:“太神奇了,我找遍全身就发现一个小针眼,现在感觉非常好,这感觉太棒了。”

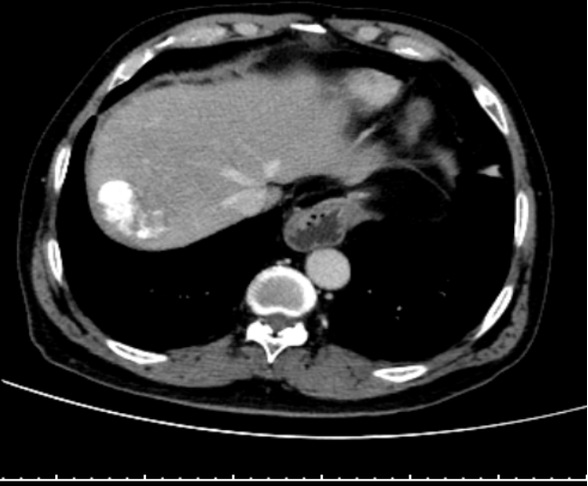
术后3个月复查CT
肿瘤介入治疗小科普
一、血管介入治疗包括动脉灌注和动脉栓塞:
药物灌注:将高浓度的化疗药物,直接灌注到肿瘤区杀死肿瘤细胞。灌注化疗比较静脉化疗,病灶局部药物浓度高出几十甚至上百倍,因此对肿瘤细胞的杀伤力更强,且对全身毒副作用小。
动脉栓塞:利用栓塞剂切断肿瘤的供血动脉,使肿瘤因“饥饿”而停止生长,继而使肿瘤细胞缺乏营养而发生坏死、缩小甚至消失,以此达到治疗肿瘤的目的。
经皮动脉药物灌注与动脉栓塞,是将化疗药物和栓塞剂有机结合在一起注入肿瘤靶动脉,既阻断供血,同时药物停留于肿瘤内起到局部化疗作用,可单纯施行,亦可联合应用,需要根据肿瘤的大小、位置等情况综合考虑决定,起到双重杀死肿瘤组织的作用。
二、血管介入治疗适合哪些肿瘤治疗?
肿瘤血管介入治疗主要适应用于:
1.呼吸系统:原发及转移性肺癌。
2.消化系统:原发及转移性肝癌、食管癌、胃癌、肠癌、胆管癌、胆囊癌、胰腺癌,以及肝血管瘤、囊肿等良性肿瘤。
3.泌尿系统:肾癌、输尿管癌、前列腺癌、膀胱癌。
4.生殖系统:子宫癌、宫颈癌、卵巢癌以及子宫肌瘤等良性肿瘤。
5.骨骼及软组织:原发性及转移性骨肿瘤及软组织肿瘤。
6.其他疾病:头颈部肿瘤、脾功能亢进、肺栓塞、动静脉血栓、动脉瘤、梗阳性黄疸及消化道梗阻。
咨询请到齐齐哈尔医学院附属第三医院介入科
咨询电话:0452-2120937







黑公网安备 23020302000012号