要闻点击

临床病理诊断中心首次将电镜技术应用于细胞学病理诊断

发稿时间:2014-11-13 编发部门:临床病理诊断中心 稿件来源:临床病理诊断中心

分享至:

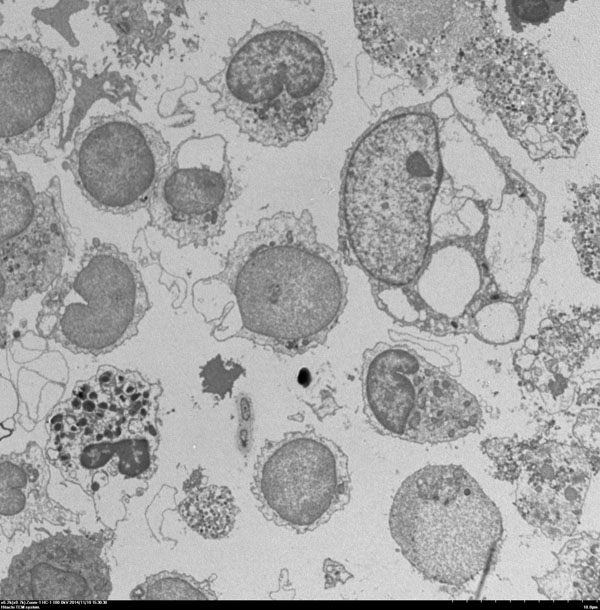
经过前期临床病例筛检并历经7天的复杂制片,11月10日,临床病理诊断中心首次将电镜技术应用于胸水腺癌的细胞学病理诊断中,开创了黑龙江省西部地区的先例,这是临床病理诊断中心向超微病理诊断迈出的第一步。

电镜技术可以观察到亚细胞的结构变化,在细胞、亚细胞的形态结构上阐明了疾病的发生、发展及转化规律,不仅完善和丰富了病理学内容,更为临床疑难疾病的诊断提供了准确依据,被广泛应用于临床病理诊断中。

(临床病理诊断中心2014年11月13日供稿)

胸水腺癌细胞块电镜照片

Copyright © 2026 齐齐哈尔医学院黑ICP备14004831号黑公网安备 23020302000012号